Qué Médico

Salud de la piel: mitos y realidades sobre el cuidado dermatológico

Leer más

Entrenamiento de fuerza en la tercera edad

Leer más

Alimentación sostenible: Beneficios para la salud y el medio ambiente

Leer más

El sueño y el sistema inmunológico

Leer más

Tecnología wearable en medicina deportiva

Leer más

Juan Carlos Abril Martin


Juan Carlos Abril Martin es especialista en Tratamiento del Dolor en Madrid. Actualmente tiene 12 opiniones con una valoración media de 4 sobre 5. ¡Escribe tu opinión y ayuda a otros pacientes!

Descripción

INSTITUTO MADRILEÑO DE OZONOTERAPIA (tel. 917304202) es un centro médico dedicado a la administración de ozono médico en patologías muy diversas como son: hernia discal, dolor de espalda, canal estrecho lumbar, artrosis, artritis y fibromialgia. Condromalacia rotuliana y artrosis de rodilla. Enfermedades infecciosas como la hepatitis vírica, Hpv, herpes zoster, o la osteomielitis. Enfermedades deportivas. Procesos inflamatorios intestinales. Síndrome de fatiga crónica.

Centro con certificado de la Comunidad de Madrid para la administración de ozono en cualquiera de sus formas.

Pertenecemos a la Sociedad Española de Ozonoterapia, de la que el director, Doctor JC Abril es Secretario General.

Desarrollamos la Ozonoterapia desde el año 2000 y la buena respuesta de la técnica hace que los propios enfermos, ya curados, decidan remitir a sus conocidos para el tratamiento de sus dolencias. Se trata de una técnica cada día más ampliamente aceptada por la comunidad médica nacional e internacional.

La ozonoterapia se ha utilizado con fines terapéuticos desde principios de siglo XX, mediante inyecciones en la articulación lesionada. En numerosas ocasiones produce la desaparición del dolor. Su eficacia llega hasta el 80% de los casos tratados, evitando en numerosas ocasiones la operación quirúrgica.

En el campo médico la ozonoterapia lleva un largo desarrollo clínico, no habiéndose descrito efectos colaterales de importancia, si dicho tratamiento se aplica correctamente. Tampoco causa reacciones alérgicas al ser un gas inocuo.

 

ENFERMEDADES QUE RESPONDEN A LA OZONOTERAPIA

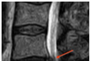
HERNIA de DISCO y dolores de espalda, lumbago, ciática. Su efecto suele ser mantenido en el tiempo. El tratamiento consiste en la inyección local del gas, en sesiones repetidas hasta un total de 10.

ARTROSIS de rodilla y condromalacia. Evita el uso de infiltraciones de corticoides que tienen un gran número de efectos secundarios. Mejora el metabolismo del cartílago. Eficacia del 80% de los casos infiltrados.

HOMBRO DOLOROSO: tanto debido a tendinitis como a periartritis, destruye las calcificaciones dolorosas y mejora la movilidad.  Efectividad del 70% de casos.

FIBROMIALGIA y SINDROME DE FATIGA CRONICO mediante la administración en autotransfusión. Precisa de al menos 14 sesiones con periodicidad semanal. Mejoría del 55% de los casos.

PATOLOGÍAS VASCULARES: lesiones venosas y arteriales con insuficiencia de riego de las piernas. Mejora espectacularmente la cicatrización de heridas y úlceras crónicas.

OTRAS ENFERMEDADES: tendinitis en deportistas; De Quervain de la muñeca; síndrome del túnel del carpo en la muñeca, herpes simple o zoster.

 

CURRICULUM

JUAN CARLOS ABRIL

Doctor por la Universidad Autónoma de Madrid

Traumatología MIR UAM

Licenciatura en Valladolid.

 

Secretario de la Sociedad Española de Ozonoterapia.

Miembro de la Sociedad Española de Cirugía Ortopédica y Traumatología

Miembro de la Sociedad Española de Ortopedia Pediátrica

Miembro de la Sociedad Matritense de Traumatología

Especialidades

  • Tratamiento del Dolor
  • Traumatología

Experto en

  • Ozonoterapia
  • Ozonoterapia articular, lumbar, autohemotrasfusión
  • Traumatología y Cirugía Ortopédica Infantil

Opiniones

12 Opiniones para Juan Carlos Abril Martin
  • Defraudador fiscal

    Cobra cien euros por infiltración de agua destilada, en efectivo, ni cheques ni tarjetas, ni trasferencias. Solo billetes no da recibo. Cuando entras en la consulta ya está con la jeringuilla en la mano. No se molesta en preguntar que tas estas.
  • Charlatan de feria

    Hace un año fui a su consulta con un fuerte dolor en la cadera. Sin ninguna radiografía me diagnostico que era un dolor reflejo del ciatico. Un año después, miles de euros gastados y un fuerte empeoramiento , me hizo una radiografía, me dijo que tenía artrosis de cadera , que no podía hacer nada por mi y me envio al RUBER para que me pusieran una protesis de cadera
  • Mamá de Isabella ( Canarias )

    Es un profesional nos aclaró muchas dudas , es directo y claro con los objetivos que desea mejorar en el paciente.
  • No muestra absolutamente ningún interés

    No muestra ningún tipo de interés, hace insinuaciones descalificativas (para qué te vas a inyectar ácido hialurónico, eres una abuela?) y no hace ninguna recomendación para solucionar el problema. Un trato fatal y casi nos echa de la consulta.
  • Me curo el dolor de espalda por hernia discal. Gracias dr abril

    Me trato de mi dolor de espalda por hernia discal y tras dos años desde el tratamiento me encuentro divinamente. Gracias dr abril.
Ver más opiniones

Deja tu opinión

Título para tu opinión El título debe tener entre 4 y 150 caracteres.
Escribe tu opinión El texto debe tener menos entre 10 y 2000 caracteres.
Cual es tu alias o nombre El nombre o alias debe tener entre 5 y 40 caracteres.
Dejanos tu email y te avisaremos cuando otros usuarios opinen sobre este especialista Es necesario introducir un correo electrónico válido.

Consultas

1 resultados encontrados

¿Hay datos incorrectos?

Avenida de Betanzos, 60 (Esquina con Avenida de la Ilustración), Madrid, Madrid

917304202

Lunes a Viernes de 08:30 a 21:30. Sábados de 8:30 a 14:00

Seguros médicos de esta clínica

  • Adeslas
  • Aegon Salud
  • Agrupación Mútua
  • Allianz
  • AMSYR
  • Antares
  • Aresa (Mutua Madrileña)
  • Asefa Salud
  • Asisa
  • Avantsalud
  • AXA Aurora Ibérica
  • AXA Winterthur Salud
  • Azkaran
  • Caser
  • Cigna Life
  • Cisne Aseguradora
  • Divina Pastora
  • DKV Seguros
  • Estrella Seguros
  • Excelsa
  • Fiatc
  • GES Seguros
  • Groupama Seguros
  • HNA - Hermandad Nacional de Arquitectos
  • Igualatorio Colegial
  • Ilustre Colegio de Abogados de Madrid
  • Ilustre Colegio de Procuradores
  • IMQ - Igualatorio Médico Quirúrgico
  • Inisas
  • Instituto Español de Seguros
  • La Equitativa de Madrid
  • La Unión Madrileña de Seguros
  • Mapfre Caja Salud
  • Mútua Madrileña
  • Sanitas
  • Seguros Atocha
  • Sersanet